
The Cytology service provides expert interpretation in a wide range of gynecologic and non-gynecologic specimens including fine needle aspiration biopsies. Subspecialty board certified pathologists and residents actively participate in rapid on-site evaluation of image, ultrasound and endoscopic-guided procedures for busy interventional radiology and pulmonary medicine departments.
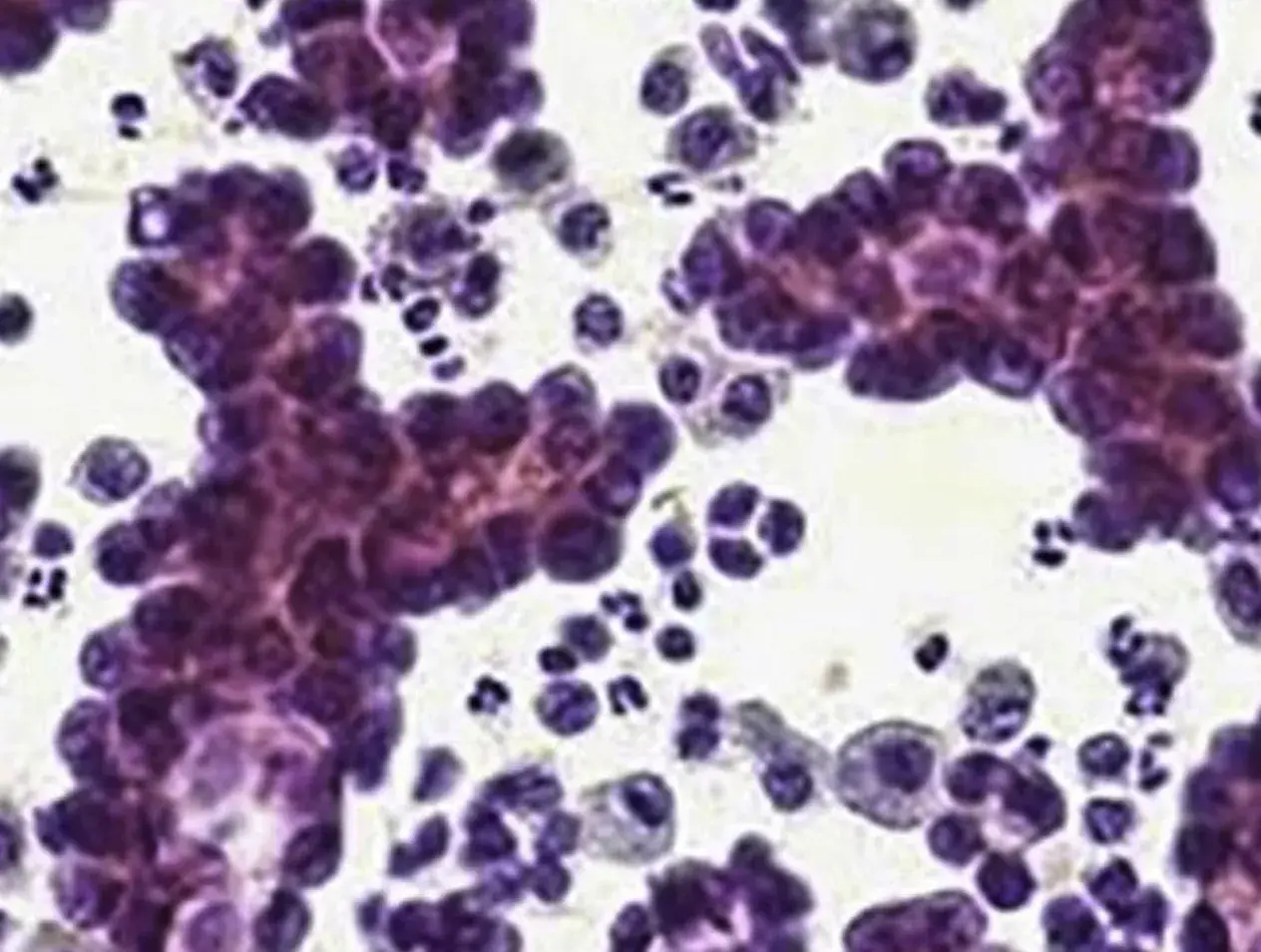
Pic: Papillary thyroid carcinoma in a 34-year old female patient.