
The Hematopathology Service specializes in the evaluation of lymph nodes, bone marrow, blood, spleen, and hematolymphoid tissues in other organs. In addition to conventional histology and immunohistochemistry, a variety of specialized tests such as flow cytometry, molecular and cytogenetic tests are integrated into pathology reports. The service provides coverage for all CHI Health hospitals in the Omaha metro area. Educational activity includes teaching of residents and medical students.
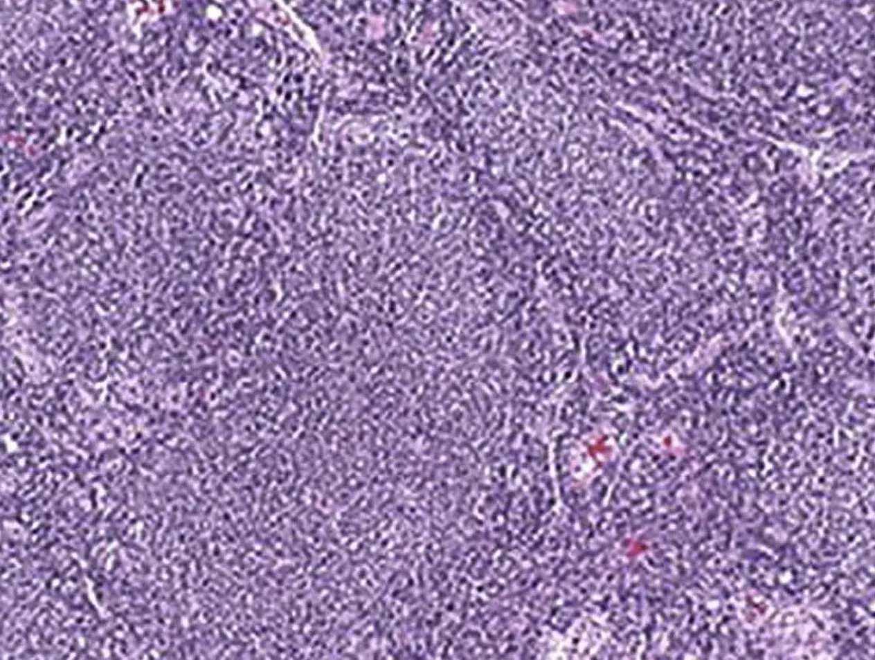
Pic: Follicular lymphoma diagnosed in cervical lymph node of a 42-year old female patient.